Dental Fillings

Dental fillings restore teeth that have been damaged by decay, cracks, or wear. Modern tooth‑coloured fillings blend seamlessly with your natural teeth, strengthen the tooth structure, and prevent further damage.

What Are Dental Fillings?

A dental filling is a restoration used to repair a tooth affected by decay or minor fractures. We remove the damaged area, clean the tooth, and place a strong, natural‑looking material to restore shape and function. Really large fillings are often better restored with a crown.

We use tooth‑coloured composite fillings because they:

  • Look natural

  • Bond securely to the tooth

  • Require minimal removal of healthy tooth structure

  • Are durable and long‑lasting

  • Contain no metal

 

Signs You May Need a Filling

You may need a filling if you experience:

  • Sensitivity to hot, cold, or sweet foods

  • Pain when biting

  • A visible hole or dark spot

  • Rough edges on a tooth

  • Food getting stuck between teeth

  • A chipped or cracked tooth

  • Old fillings that feel loose or worn

Early treatment prevents the need for more complex procedures. Regular check‑ups and cleans help prevent decay and reduce the need for future fillings.  Children often need fillings due to baby teeth being  softer than adult teeth. Regular visits to our Children’s Dentistry service help prevent future issues.

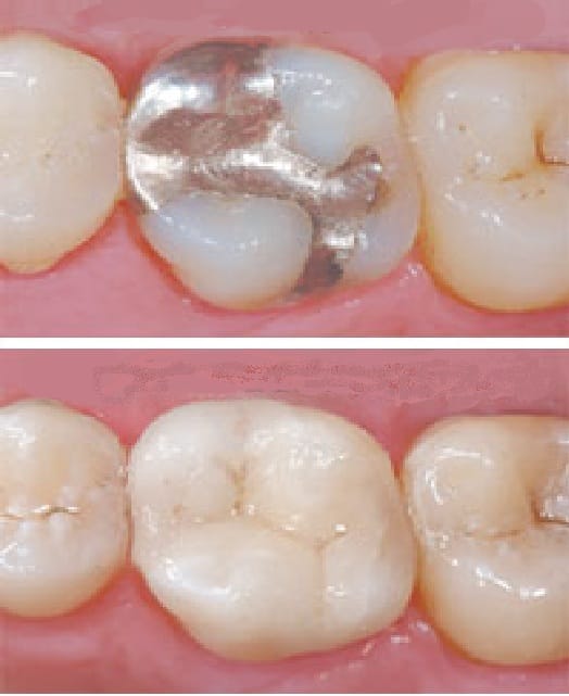
metal filling swapped for white filling

Types of Fillings We Provide

1. Composite (Tooth‑Coloured) Fillings

The most common and aesthetic option. Blends naturally with your teeth.

 

2. Replacement of Old Fillings

We can replace worn, cracked, or metal fillings with modern composite materials.

 

3. Temporary Fillings

Used when a tooth needs stabilisation before a final restoration.

Why We Don’t Use Metal Fillings

At Dental Envy, we choose modern tooth‑coloured composite fillings instead of traditional metal (amalgam) fillings. This isn’t because metal fillings are “toxic” — that’s a misconception. We simply prefer materials that are:

  • more aesthetic

  • more conservative

  • more compatible with modern dentistry

  • more popular with patients

Metal fillings have become unfashionable, and most patients now prefer natural‑looking options that blend seamlessly with their smile.

What Happens During a Filling Appointment

1. Examination & X‑Ray (If Needed)

We assess the tooth and determine the extent of decay.

2. Gentle Numbing

Ensures a comfortable, pain‑free experience.

3. Removal of Decay

We clean the affected area thoroughly.

4. Placement of the Filling

Composite material is layered, shaped, and hardened with a curing light.

5. Bite Adjustment & Polish

We ensure your bite feels natural and the filling blends seamlessly.

Benefits of Dental Fillings

  • Stops decay from spreading

  • Restores strength and function

  • Prevents fractures

  • Improves appearance

  • Long‑lasting and durable

  • Minimally invasive

  • Matches your natural tooth colour

Frequently Asked Questions

How long do fillings last?

Composite fillings typically last many years with good oral hygiene.

Does getting a filling hurt?

No — the area is numbed, and the procedure is comfortable.

Can I eat after a filling?

Yes — composite fillings harden immediately. Avoid very hard foods for a few hours if you are numb.

Why do I need a filling if it doesn’t hurt?

Decay often causes no pain until it becomes severe. Early treatment prevents bigger problems.

What if the decay is too large for a filling?

We may recommend a crown or inlay/onlay for added strength.

Restore Your Tooth With a Natural‑Looking Filling

Book your consultation today.